Smile Gallery

Our patients have been kind enough to share their before-and-after treatment photos and testimonials so you can gain a firsthand look at how we transform smiles. Dr. Carol Moreno, Dr. Carolyn Duong, and Dr. Robert Moreno want the best for your family’s dental health and happiness, and we hope you’ll take the time to see these patients’ results for yourself.

You will feel totally relaxed while receiving high-quality treatments that keep your smile in excellent shape over the years. Whether you need replacement teeth, emergency care, or simple dental cleanings, you’ll always feel better after treatment from our West Liberty, IA, North Liberty, IA, or Muscatine, IA dentists. Call 563-288-2612 or use our easy online form to schedule your consultation today!

Confident Dental Patient Smiling | West Liberty, IA, North Liberty, IA and Muscatine, IA | Gentle Family Dentists

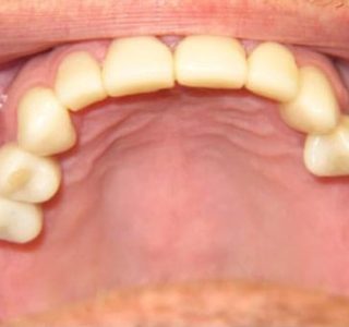
smile 1

Before

After

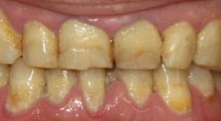
smile 2

Before

After

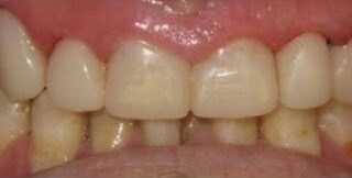
smile 3

Before

After

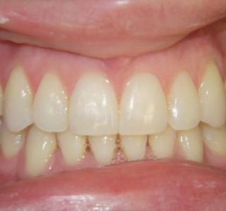
smile 4

Before

After

smile 5

Before

After

smile 6

Before

After

smile 7

Before

After

smile 8

Before

After

smile 9

Before

After

smile 10

Before

After

smile 11

Before

After

smile 12

Before

After

What our patients are saying

Hannah D.North Liberty
All of the dentists at gentle family dentists are amazing! We love Dr. Carole! Her approach is so effective! It has saved both our children from oral surgery in their late teens years. The entire staff is thoughtful, kind, extremely caring and gentle! It is a pleasure to be treated there!
Amber P.North Liberty
Great experience and the team truly showed concern for me during my extraction experience. They were able to get me in quick and then also accommodated my crazy work schedule and got several timely services done before work so I would not be in pain any more. I would recommend this team to anyone. And if you are not using these wonderful people then you are missing out.
Jacob W.West Liberty
I don’t go but my twin boys do! They love it so much they make the boys feel comfortable and happy when being seen by anyone always a clean and loving environment for them to get their dental work done! They’re 5 so it’s a big part of the reason why we chose to go with gentle family dentist they are so nice to us!
Benjamin W.West Liberty
Dr. Caroline did an amazing job with my crowns on my front teeth, fitting my night guard many times until it was right, and guiding me through the zoom at home whitening kit. I have a whole different smile and I feel so confident. Every person there is so friendly and helpful! Thanks so much!
Laura P.Muscatine
Chipped a molar last night eating popcorn. This morning they were able to get me in for a quick x-ray, then get an appointment scheduled for the afternoon to do the crown. I wasn’t in any pain but I feel so fortunate to have had it fixed so quickly! They have fancy technology & knew exactly what they were doing. Perfectly matched the tooth color. Extremely pleased with my experience!
Laura L.Muscatine
I can’t say enough about how much I appreciate this office. I have hated the dentist for most of my life and stopped going. Now I have teeth issues that embarrasses me. Dr. Grant and the staff have been amazing and made me feel so supported and not judged at all. I’m so happy I found this clinic. I can’t wait to get my smile back!